Por: Rodolfo Román (Noviembre 18, 2025)
Este sábado tuve la oportunidad de asistir a la Galería de Arte de Ontario (AGO), en Toronto. Allí tuve la grata sorpresa de encontrarme con una exhibición extraordinaria de la artista Jesse Mockrin. ECO, como se titula su muestra, nos invita a explorar las resonancias de la figura femenina a través de 17 pinturas y 8 trabajos en papel, inspirados en obras barrocas de la propia colección del AGO (Jesse Mockrin on the Echo of Images).
Mockrin examina la violencia y la transgresión ejercidas sobre la figura femenina dentro de la cultura grecolatina. Reinterpreta la esencia de distintos mitos que han marcado nuestro imaginario colectivo, filtrándolos a través de una lente feminista contemporánea.
Fue para mí imposible no encontrar una correlación inmediata con la neurociencia.
La exposición da la bienvenida al visitante con una reseña sobre la leyenda de Eco. En particular, se hace referencia al mito clásico narrado en Las Metamorfosis (Narciso Y Eco), donde Ovidio describe a Eco, una ninfa de voz melodiosa, quien fuera utilizada por Zeus (Júpiter) para distraer a Hera (Juno) con sus charlas mientras él cortejaba a otras ninfas. Cierto día, Hera descubre las intenciones de Eco detrás de su amistad y decide castigarla: le arrebata la capacidad de iniciar el habla, condenándola a repetir únicamente las últimas palabras que escucha. Esta mutilación simbólica del lenguaje convierte a Eco en una figura trágica: una presencia sonora que sólo puede existir a través de la voz ajena, despojada de autonomía discursiva.

Si uno observa con atención, la figura de Eco no es sólo un recurso literario: es, en sí misma, una descripción tácita de la ecolalia. La ninfa pierde la iniciativa verbal, pierde la capacidad de generar discurso propio, pero conserva intacta la facultad de repetir. Su antes melodiosa voz, queda reducida a un reflejo acústico, a un eco literal de palabras ajenas. Esta dualidad, pérdida de iniciativa y preservación de la repetición, es justamente la esencia clínica de la ecolalia, un fenómeno en el cual la persona repite involuntaria y automáticamente palabras o fragmentos finales de frases pronunciadas por otro.
Desde la neurociencia, este paralelismo con el mito se vuelve sorprendentemente preciso. En trastornos donde aparece ecolalia —ya sea en afasias transcorticales post-ictus, en variantes de afasia progresiva primaria o en condiciones neuropsiquiátricas como el autismo o la catatonia— se mantiene funcional un segmento crucial de la red del lenguaje: el circuito perisilviano. Esta región comprende la corteza auditiva superior temporal, el área de Wernicke, el fascículo arqueado y las zonas premotoras encargadas de transformar sonidos en gestos articulatorios. Cuando este circuito permanece relativamente preservado, pero se afecta el sistema que regula la inhibición, el control ejecutivo o la generación espontánea del lenguaje, la repetición surge “liberada”, desanclada del propósito comunicativo.
Dicho de otro modo: la ecolalia aparece cuando los mecanismos superiores que deberían modular o detener la repetición fallan, pero el engranaje básico de percepción-imitación permanece intacto. El artículo Echolalia from a transdiagnostic perspective lo explica con claridad: la repetición verbal depende de un sistema de imitación audio-visual alojado en la corteza prefrontal ventrolateral, el giro temporal superior y el lóbulo parietal inferior, bajo la supervisión de una red ejecutiva encargada de frenar automatismos. Cuando esta red ejecutiva se lesiona o se hipoperfunde —por ejemplo, el área motora suplementaria (SMA), el cíngulo anterior o el cíngulo medio— se pierde la capacidad de inhibir la activación automática del circuito perisilviano, provocando que la repetición emerja sin filtro, como un eco neural (McFayden et al., 2022).

Este modelo encaja de forma casi poética con la maldición de Hera. Eco conserva la maquinaria neurobiológica necesaria para repetir: su circuito perisilviano, simbólicamente, sigue vivo. Lo que pierde es la autoría (y su autonomía), la posibilidad de iniciar el acto del habla, una función más asociada a regiones frontales mediales y dorsolaterales responsables de la planificación lingüística y el control inhibitorio. La ninfa queda, así, reducida a un flujo de palabras ajenas que resuenan a través de ella. Su antes melodiosa voz que conquistó la amistad de Hera, ahora sólo es una resonancia que imita la voluntad ajena.
Y, sin embargo, el mito no termina ahí. Ovidio lleva la tragedia de Eco un paso más lejos cuando la hace enamorarse de Narciso (Narciso Y Eco). Privada de iniciativa verbal, Eco intenta confesar su amor repitiendo las últimas palabras que él pronuncia, como si la pasión que la consume intentara forzar una autonomía lingüística que ya no posee. Narciso, incapaz de corresponderla, la rechaza con el mismo desdén que dedica al resto del mundo (Narciso ya había rechazado previamente a otras ninfas). Ella, fragmentada en su propia condena, se retira a las montañas donde su cuerpo se va consumiendo hasta desaparecer. Sólo queda su voz (persistente, incorpórea, espectral) atrapada en las rocas que repiten lo que escuchan. Eco ilustra una condición que, sin saberlo, Ovidio describió con una exactitud que hoy reconoceríamos como sorprendentemente neurocientífica.
Y mientras caminaba por las salas del AGO, atrajo totalmente mi atención cómo Mockrin trabaja, precisamente, con ecos visuales: fragmenta cuerpos barrocos, recorta manos, torsos y miradas, los desplaza de su contexto original y los deja suspendidos sobre fondos oscuros, como lo hace en *The Descent (2024),* pintura en la que redefine de forma única la famosa escena del rapto de las sabinas.

Imagen tomada de: Jesse Mockrin on the Echo of Images
Esta estética de la suspensión en The Descent dialoga con la narrativa del Rapto de las Sabinas, cuyo trasfondo histórico revela la crudeza del poder masculino en los inicios de Roma: una comunidad formada casi exclusivamente por hombres decide secuestrar a las mujeres del pueblo vecino para asegurar su supervivencia biológica y consolidar su futuro político. La iconografía clásica captura este momento de forcejeo y apropiación, donde los cuerpos femeninos son arrancados de su espacio y destino. Mockrin reinterpreta esa misma energía visceral sin replicar la escena; en cambio, persigue su resonancia emocional. Sus figuras en caída no muestran el rapto, pero evocan la pérdida de agencia y el desmoronamiento súbito de la autonomía femenina, convirtiendo The Descent en un contra-eco contemporáneo del mismo gesto ancestral de dominación.

Imagen tomada de: ¿QUÉ SIGNIFICA EL CUADRO DEL «RAPTO DE LAS SABINAS»?
Esa decisión estética de borrar el escenario y conservar sólo el gesto, recuerda mucho a lo que el cerebro hace en la ecolalia: conserva el mecanismo de repetición, pero pierde gran parte de la arquitectura que dota a la palabra de iniciativa y contexto. Sus cuadros son, en cierto sentido, la versión pictórica de un circuito perisilviano liberado: imágenes que resuenan, ya desprendidas de su narración original, igual que una frase repetida sin dueño. Y en este caso, lo hermoso de la obra de Mockrin es que el eco es femenino, auténtico y libre.
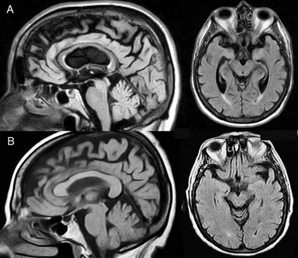
En las afasias asociadas a EVC, la ecolalia puede ocurrir no sólo como consecuencia de una lesión frontal “liberadora” del circuito perisilviano, sino también de forma secundaria a lesiones posteriores profundas que desorganizan la red neuronal de lenguaje. En el caso descrito por Abusrair y AlSaeed, la imagen de difusión muestra un infarto en el lóbulo parietal inferior izquierdo, regiones parietooccipitales, cápsula interna y esplenio del cuerpo calloso, es decir, en un sitio neuroanatómico crítico donde convergen fibras de asociación y proyección que conectan áreas temporoparietales con otras regiones del hemisferio y con el hemisferio contralateral. Esta afectación no destruye por completo la maquinaria perisilviana de repetición, pero sí altera la integración entre percepción auditiva, procesamiento semántico, control motor del habla y redes interhemisféricas, generando una imagen clínica en la que la repetición queda relativamente preservada mientras el lenguaje espontáneo y la comunicación eficaz se ven afectadas. La ecolalia, en este contexto, puede leerse como un eco que rebota en un sistema parcialmente desconectado: las palabras ajenas siguen encontrando la vía para ser articuladas, aunque se pierde la interlocución para generar un discurso coherente de dos vías.

Algo similar ocurre en las afasias progresivas primarias (PPA). Ota y colaboradores estudiaron 45 pacientes con PPA y encontraron ecolalia sobre todo en la variante no fluente/agramática, con un patrón peculiar: peor comprensión auditiva, conductas de imitación aumentadas y un perfil que, en algunos casos, recordaba a las afasias transcorticales clásicas, donde la repetición se preserva a pesar del deterioro del lenguaje propositivo. Torres-Prioris y Berthier, en su artículo editorial titulado “Echolalia: Paying attention to a forgotten clinical feature of primary progressive aphasia”, retoma esta idea y la lleva un paso más allá: propone que, en la variante semántica de PPA y en la variante conductual de la demencia frontotemporal, la degeneración de los polos temporales y de la corteza frontal anterior “libera” la actividad del circuito perisilviano de repetición, de modo que el paciente se convierte en una especie de caja de resonancia verbal, donde las palabras del otro rebotan en un sistema espejo relativamente preservado.
En los trastornos neuropsiquiátricos, la lectura transdiagnóstica apunta en la misma dirección. McFayden y colaboradores proponen que la ecolalia —ya se trate de autismo, esquizofrenia, catatonía o síndromes extrapiramidales— emerge cuando un sistema de imitación audio–verbal (que incluye corteza temporal superior, región parietal inferior y áreas frontales ventrolaterales) queda relativamente preservado, mientras se altera la red ejecutiva que debería modularlo: corteza prefrontal dorsolateral, cíngulo anterior, área motora suplementaria, circuitos frontoestriatales. Berthier y su grupohan descrito, por ejemplo, pacientes con parálisis supranuclear progresiva y afasia dinámica con ecolalia irreprimible, en los que la neuroimagen muestra disfunción en redes frontales y cinguladas, dejando “sueltas” las rutas de eco verbal.

Desde esta perspectiva, la ecolalia no es sólo un síntoma “raro”, sino la huella clínica de un desequilibrio: redes de repetición relativamente intactas, redes de control e iniciativa lingüística deterioradas. Justo esa asimetría es la que Mockrin hace visible en sus lienzos: toma narrativas bíblicas y mitológicas, les arranca el fondo, las recompone en dípticos y trípticos donde los cuerpos parecen salir o desaparecer en los bordes del cuadro; lo que queda es el gesto, el momento congelado de violencia o tensión, repetido en variaciones mínimas, como si una misma escena se reprodujera una y otra vez a lo largo de los siglos.
No obstante, en la obra de Mockrin no estamos ante un eco inerte, sin agencia ni voluntad, como la Eco de Ovidio o como la repetición automática que observamos en la clínica neurológica. Aquí, el eco no es un residuo: es una intervención deliberada. Mockrin actúa como ese agente externo capaz de alterar la organización natural de los circuitos —pero no los biológicos, sino los culturales—. En su gesto de deconstruir imágenes barrocas, fracturarlas, recomponerlas y forzarlas a hablar en un nuevo registro, la artista opera de forma análoga a la patología que libera los automatismos verbales: interrumpe el flujo habitual del significado y, al hacerlo, permite que surjan otras resonancias. El eco visual que ella produce no es reflejo pasivo, sino un mecanismo de revelación.
De esta manera, Mockrin se convierte en el equivalente artístico de un “lesionador” volitivo: interviene en el tejido iconográfico occidental y provoca que aspectos latentes de nuestra memoria cultural emerjan a la superficie. Porque nosotros —como pueblo occidental, como latinos marcados por los mitos de Rómulo y Remo, por la violencia fundacional del rapto y por las narraciones que nos preceden— también somos ecos y fragmentos dispersos de una tradición que vibra de forma perenne. Nuestra identidad es una reverberación continua de esas mismas historias arquetípicas, resonando a frecuencias cambiantes, pero siempre emanadas de las mismas cuerdas vocales de Eco que modelaron la imaginación grecolatina y, con ella, todo el linaje cultural que habitamos.
Bibliografía
Fuentes clásicas y de arte
Ovidio. (2004). Metamorphoses (R. Tarrant, Ed.). Oxford University Press. (Texto original en latín). Recuperado de https://www.theoi.com/Text/OvidMetamorphoses3.html
Foyer. (2024). Jesse Mockrin on the Echo of Images. https://readfoyer.com/article/jesse-mockrin-echo-images
James Cohan Gallery. (2024). Jesse Mockrin: The Descent. https://www.jamescohan.com/features-items/jesse-mockrin-the-descent
Historia del Arte 560. (2015). ¿Qué significa el cuadro del Rapto de las Sabinas?https://historiadelarte560.wordpress.com/2015/12/13/que-significa-el-cuadro-del-rapto-de-las-sabinas/
Artículos científicos sobre ecolalia
Abusrair, A. H., & AlSaeed, F. (2021). Echolalia following acute ischemic stroke. The Neurohospitalist, 11(1), 91–92. https://doi.org/10.1177/1941874420958847
Berthier, M. L., Torres-Prioris, M. J., López-Barroso, D., & Roé-Vellvé, N. (2021). Echolalic dynamic aphasia in progressive supranuclear palsy. Frontiers in Aging Neuroscience, 13, 635896. https://doi.org/10.3389/fnagi.2021.635896
McFayden, T. C., Kennison, S. M., & Bowers, J. M. (2022). Echolalia from a transdiagnostic perspective. Autism & Developmental Language Impairments, 7, 1–16. https://doi.org/10.1177/23969415221140464
Ota, S., Kanno, S., Morita, A., Narita, W., Kawakami, N., Kakinuma, K., … Suzuki, K. (2021). Echolalia in patients with primary progressive aphasia. European Journal of Neurology, 28(4), 1113–1122. https://doi.org/10.1111/ene.14673
Torres-Prioris, M. J., & Berthier, M. L. (2021). Echolalia: Paying attention to a forgotten clinical feature of primary progressive aphasia. European Journal of Neurology, 28(4), 1102–1103. https://doi.org/10.1111/ene.14712
Patra, K. P., & De Jesus, O. (2023). Echolalia. En StatPearls. StatPearls Publishing. https://www.ncbi.nlm.nih.gov/books/NBK565908/
Leave a comment